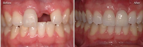
Các yếu tố giúp trồng răng giả gắn chặt vĩnh viễn

Thứ Năm, 16 tháng 6, 2016
Tags: ,

Comments[ 0 ]


Đăng nhận xét